TempoCem ID.
Looks good – because you can’t see it.
TempoCem ID, with its optimum transparency, is your specialist for the highly aesthetic temporary and semi-permanent luting of temporary crowns, bridges, inlays and onlays, not to mention the temporary and semi-permanent luting of implant-supported prosthetics and the temporary cementation of temporary veneers.
- Excellent aesthetics thanks to optimum transparency
- Optimal bonding with easy removability
- High degree of user-friendliness and excellent flow and mixing properties
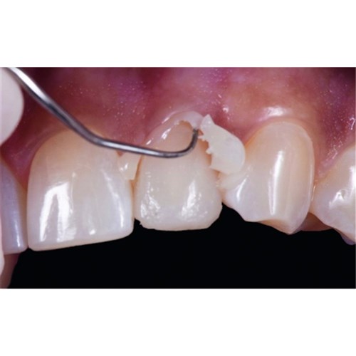
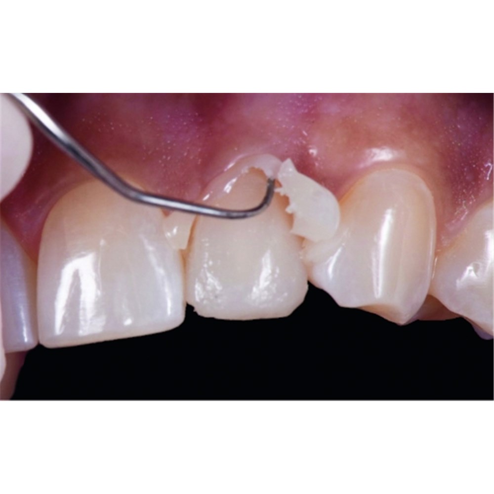
Visible to no-one. Apart from you. TempoCem ID ensures outstanding results thanks to its visual adaptability. The highly aesthetic temporary cement is invisible when it needs to be, yet is also detectable for dentists when required. Invisible below the restoration: Thanks to its optimum transparency, the colour-neutral cement does not affect the shade of the temporary. This makes TempoCem ID the perfect choice for both posterior and anterior restorations. Easy detection for easy removal of excess: Unlike other aesthetic temporary cements, excess TempoCem ID is easy to detect and can often be removed in one piece. The eugenol-free TempoCem ID has excellent flow and mixing properties. The material does not stick to the instrument and is also ideally suited to long-lasting temporaries.