Reducing single-use plastic and material waste in dental procedures is an important step toward greener practice management. With products like EQUIA Forte HT, clinicians can maintain high standards of care while contributing to a more sustainable future.
The world's first resin-reinforced glass ionomer has remained the benchmark* for light-cured glass ionomer cements, delivering more than 30 years of exceptional performance to clinicians around the world.
What criteria do you utilize when deciding to replace a scaler? The condition of the working end? Broken blades? Your curettes have become sickles from an incorrect sharpening technique or the knowledge of the physical and often irreversible effects on your body when using a scaler that is past its ‘use by’ date? What about the consequences of using a compromised scaler on a patient? Do these facts affect your decision on when to replace?
Let’s face it: gloves may not be the most exciting item on your clinic supply list, but they’re among the most critical. As infection control remains a top priority in every dental practice, more and more clinics are re-evaluating what they put on their hands every day. The result? A noticeable shift away from latex gloves and toward nitrile.
KaVo is expanding its family of red high-speed contra-angles with the new MASTERmatic LUX M45 L. KaVo completes the successful portfolio of its red high-speed contra-angles, and these precision instruments marked with a red ring are the power players in everyday practice: they reach the highest speeds and reliably withstand extreme loads - both during use and subsequent reprocessing.
For Dr. Adriano Azaripour, instruments play an essential role in his surgical and periodontal work at the University of Mainz and in his practice in Bad Soden. Function and feel must form a unified whole. Using a patient case, he describes his high standards for his bur portfolio.
It's a free online resource for dental practitioners and team members developed to streamline and simplify your access to all GC products. Find product information, instructions for use, technique guides, videos, sales specialist contact information and product ordering all in one place.
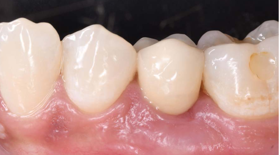
Developed to support acid neutralisation and remineralisation, these products help to prevent tooth decay, erosion, and reduce dentine hypersensitivity, making them an optimal choice for patients wanting to maintain strong, healthy teeth.
You don’t have to be a practice owner to champion sustainability. Remember to promote the environmental benefits of prevention, deliver durable dental interventions, unite to mitigate waste, adapt evidence based sustainable practices and champion sustainability in your practice.
Interdental brushes are the most effective tools for cleaning between teeth, especially for patients with spaces or periodontal disease. Share your knowledge with your patients and allow them to try different interdental brush options available. Patients are more likely to use the brush daily if they can choose the brushes themselves.
A recent study that examined the environmental impacts of dental restoratives found that over 95% of the GWP in terms of kg CO2 produced for glass ionomer cements (GIC) was largely accounted for in the process for creating the packaging for the restoratives
The Carriere Motion 3D Appliance is the recipient of the 2021 Orthotown Townie Choice Award, and the Carriere Motion 3D Clear Appliance earned the Gold Delta Design Award from the ADI-FAD. Recognized for its aesthetic design, the Carriere Motion 3D for Class III correction is on permanent display at the Barcelona Museum of Design. Dr. Carrière is the inventor of the Carriere Motion 3D Appliance for both Class II and Class III correction, as well as Carriere SLX 3D7 Self-Ligating Brackets. Inventor, educator and practicing orthodontist, Dr. Carrière speaks about the development of the Motion 3D Appliance and the reasons behind its wide acceptance.
In mid-2023, leading up to and then following the release in December 2023 of the new Australian Standard 5369 on reprocessing reusable medical devices, I had been working on updating the ADA’s Infection Prevention and Control Guidelines for what would become their May 2024 fifth edition. This was part of my role of serving as the editor of those Guidelines, something I have done since 2010. Given that the new standard placed considerable role on local facility risk assessments, I had been undertaking some deep analysis work to identify areas of failure that could occur in a dental practice that was reprocessing instruments on site. From looking at the literature and also from reviewing my own experience auditing dental practices, it became clear that the topic of ultrasonic cleaning was not as well understood by end users as it should be. It is also one where I felt that there was considerable work yet to do.
Novapharm has been a research leader in the use of enzyme detergent medical instrument reprocessing for 3 decades. The last 15 years has seen an almost total replacement of the old style alkaline detergents by near neutral enzyme detergent formulations which have proven to be safer, more efficacious, more cost effective and more instrument compatible.
In the rapidly advancing field of dental surgery, ensuring patient safety, comfort, and optimal clinical outcomes is a priority for any modern dental practice. One technology that is making a significant impact in achieving these goals is piezotome technology, such as the Acteon CUBE. For NZ dental practices, adopting this innovation could elevate the standard of care across a range of procedures, including bone surgeries, extractions, sinus lifts, crest splitting, and crown extensions.
MI Varnish™ features a hydrogenated rosin matrix that ensures high fluoride, calcium and phosphate ions availability, combined with translucency and exceptional durability. This enhanced formulation means MI Varnish™ can provide exceptional protection from dentine hypersensitivity.
Beaconsfield Dental, a modern purpose-built dental clinic in the suburb of Berwick, has been at the forefront of sustainability, technology, and accessibility since it was built in 2013.
For hygienists, a crucial part of effective patient treatment is to examine your tools.This prevents you from discovering issues before they need to be addressed. The last thing you need is tools that cause your patients discomfort and slow down the flow of your work. Invest time to make sure you have the right instruments in your set-up, that they’re in good condition – and if not – that you can sharpen or replace them right away.
Many disposable glove manufacturers claim to sell biodegradable nitrile gloves, but those claims are often false. The first step to understanding why is to clarify the difference between degradation, biodegradation and composting.
The dental syringe you are using today dates to the 1850’s. I ask you what other instruments in your armamentarium dates to the turn-of-the-century? We have entered the age of digital dentistry. Everything from radiographs to impressions are performed with micro-processor driven technologies and for good reason. It introduces precision, ease-of-use, and a better way to control variables for a given task. That is exactly what a computer-controlled Local Anesthetic delivery (C-CLAD) device can do for you when performing a dental injection for your patients.
Undeniably, dentists who can provide informed pain management are highly sought after. Because pain is complex and specific to each person, there is no easy solution. Your goal is to create a sustainable and pleasant relationship with your patient through optimal care. We’ll see that many prejudices can hinder effective treatment, however some new approaches can support you in your daily practice. Today, pain management is not only drug-based, it strongly involves the way you communicate.
Oral health not only refers to the absence of dental diseases but its contribution to general well-being and quality of life (QoL), which is more difficult to achieve with advancing age (Lamster and Northridge, 2008). Learning about the characteristics of this population can give helpful insights into oral health care for the elderly and how to modify approaches to suit individual needs.
The new Signo T100 is based on a clear architectural structure evolving from the Signo T500 premium model with an individual pantograph lifting mechanism seat design. The new Signo T100 represents an uncompromised result of the Morita DNA.
A pilot study to compare the aerosol and spatter reduction efficacy of various hands-free high-volume evacuation (HVE) systems during an ultrasonic scaling procedure.
Zirconia is a popular restorative material with highly beneficial mechanical and meanwhile also optical properties. Due to long processing times, especially sintering, the material was initially not suitable for single-visit dentistry. This changed with the availability of zirconia variants with shortened sintering times and special high-speed sintering furnaces.
The CONELOG PROGRESSIVE-LINE Implants make it easier to implement modern treatment concepts such as immediate restorations or immediate loading.
Dental amalgam has been used for the restoration of Class I and Class II cavities for many years. However, concerns about its lack of aesthetics, health and environmental issues have led to an increase in demand for tooth coloured restorations in the posterior region. Resin composite offers the opportunity for clinicians to provide both aesthetic and conservative restorations that are sealed to the underlying tooth.
3D printing is great. A fun and exciting process, something futuristic that’s happening in the present, with great return on investment and optimized protocols - it’s the perfect entry to the CAM part of digital dentistry without breaking the bank.
Explore the unique benefits of Morita's TorqTech handpiece range, including the Torqtech Ultra mini Contra-angle, which is ideal for treating patients with limited Jaw mobility or children with small oral cavities. Click the article to read more!
Explore the range of Hu-Friedy Instruments designed to provide total solutions for your Atraumatic Extractions
Henry Schein will showcase a selection of its comprehensive solutions portfolio and innovative products at in ADX 2024, organised by Australian Dental Industry Association (ADIA). The event will take place from 21 – 23 March 2024, at the International Convention Centre, in Sydney, Australia.
Henry Schein, the world’s largest provider of health care solutions to office-based dental and medical practitioners, has received the 2024 World’s Most Ethical Companies® recognition by Ethisphere, a global leader in defining and advancing the standards of ethical business practices.
In Australia, there are a number of cloud practice management software solutions for dentists to choose from. But what is cloud and what should you be looking for when choosing the best dental software for your practice?
Dental anxiety is thought to affect at least 48% of the UK population to varying degrees. For patients, this can lead to treatment avoidance, unchecked disease progression, and adverse oral health outcomes. For dentists, according to a recent Septodont survey, it disrupts schedules, costs time and money, and impacts job satisfaction.
As part of a local team of practicing and former dental service technicians (including founder Bill Clark), we at Cattani Australasia completely understand the risks of infection exposure when it comes to dental suction systems.
With our commitment and promise to be your trusted business partner and the adage that we stand for in Rely on Us for your dental needs – we introduce you to the new Endodontic LookBook – the ELB.
The Lookbook showcases a selection of interviews, articles, 360° practice tour videos and testimonials from dentists, specialists and key opinion leaders utilising cutting edge technologies & advanced techniques in dentistry.
Dental handpieces are a costly investment and every dental practice could benefit from having a simplified protocol to ensure the proper care and maintenance of their handpiece inventory.
Batch control identification is a mandatory requirement when sterilising critical items that are used between patients. This is a legal requirement in the event a patient makes claims about inadequate instrument reprocessing in the practice. Together with batch control of instruments we must also keep our steriliser cycle record book. This is best kept in hard copy.
Understanding barriers to self-care is a crucial aspect of our job that is inherent in the biopsychosocial model that we practice. Whether we see patients six-monthly or six-yearly, the key to their oral health lies in habits built and sustained at home. In an ideal world, we exist primarily to complement those regimes and need to do so with empathy and understanding.
The clear and concise Procodile system is comprised of 4 main sequences for narrow, medium and wide canals. Each sequence contains a small selection of files for an easier choice and greater clarity. For perfect obturations, we provide matching paper and gutta-percha points.
Ensure all instruments and cassettes are dry before packaging for sterilisation. After cleaning, critical and semicritical instruments should be inspected for remaining debris.
CERASMART™ 270 offers the modern busy practice a truly fast, effective milling solution with flexibility in clinical applications. CERASMART™ 270 provides improved strength, more natural aesthetics and fluorescence, higher radiopacity affording both clinicians and patients a no-compromise quality outcome, making it the perfect choice for inlay, onlay and implant restorations.
Henry Schein has been offering the endodontic solutions portfolio of EdgeEndo®, one of the world’s largest NiTi rotary file suppliers, successfully for two years and has just enlarged this range by EdgeFile® X7, the number one selling EdgeEndo® NiTi system in the United States.
Reliable adhesive cementation of zirconia 10-Methacryloyloxydecyl Dihydrogen Phosphate is a bit of a tongue-twister for anyone who is not a chemist by profession, so in everyday communication, this adhesive monomer is referred to by the three initial letters: MDP. MDP is indispensable in the dentistry business. For example, reliable adhesive cementation of zirconia restorations would not be possible without MDP. This adhesive monomer was developed by Kuraray Noritake Dental in 1981.
In the current climate we know how important it is to ensure clean surfaces, especially those that are frequently contaminated. Cleaning with a neutral detergent removes bioburden from surfaces, it also assists with breaking down proteins and has better cleaning capabilities than alcohol for example. Using something like an alcohol wipe alone will harden proteins and If you’ve ever used alcohol on blood you will know how blood can harden and become very difficult to remove.
To understand the nature of pain and treat it effectively, let’s look at the physical, emotional and psychological factors that determine how it is experienced by individuals. The way an individual perceives pain is the result of both physiological and physical factors. Pain is one of the body’s most important ways of communicating, and the way each person processes pain involves complex neural phenomena. Nerve cells detect potentially damaging stimuli and send a signal to the brain, which assesses the threat and coordinates a response.
Practice Pink is an initiative of Henry Schein Cares, the Company’s global corporate social responsibility program. Through Practice Pink, Henry Schein, together with non-governmental organizations and supplier partners across North America and Europe, is helping dental and medical health care professionals raise awareness and support for a cure for breast cancer and other cancers.
Chairman and CEO Stanley M. Bergman Named Executive of the Year for Diversity and Inclusion; Global Practice Green™ Initiative Recognized
A recurring problem for dental practices is low treatment acceptance. At your practice, you’re likely familiar with scenarios where a patient needs urgent treatment but may not go ahead with it because of the high cost. As professionals, this can be frustrating for you because you want the best for your patients. And, low treatment acceptance ultimately means lower income and profits for your practice.
According to a recent survey by Septodont, one of the more challenging day-to-day experiences for a dentist is the inquisitive patient. Too long spent answering questions means that appointments run over, other patients are kept waiting, and schedules are thrown into chaos. During the pandemic, with schedules – and budgets – stretched to breaking point, this presents even more of a challenge. When every minute counts, we discuss how dentists can keep their inquisitive patients satisfied and their schedules running smoothly.
Fibres are the only way to make large direct restorations with good mechanical properties and durability. Other durable strong materials, such as zirconia and metal can only be made indirectly, outside the mouth. This way we can provide more affordable restorations and allow a larger patient group to be treated.
In our day to day lives, we are increasingly bombarded by ‘marketing’ noise and messaging as to the best solutions to benefit our day-to-day routines, and for dentistry how to run our dental practice effectively. Whether that’s details about the latest chair, PPE, imaging, tools – along with a whole array of software platforms, from finance to marketing to practice management workflows.
KaVo has always blazed the trail in ergonomics and comfort. KaVo products were developed from an ergonomic point of view as far back as the early 20th century. In 1965 came the ergonomic revolution: a patient chair with a completely new lying position helps dentists maintain a healthy, strain-free posture for the first time.
5 Answers About Using Indicators & Monitoring Your Statim Thousands of dental offices and dozens of jurisdictions means each dental team will have a variation on the process it follows to sterilise instruments in accordance with AS/NZS 4815. What they all have in common is a need to verify the process is working. If you’re using a STATIM cassette steriliser, things are a little simpler. Since it’s an S Cycle steriliser using steam flush pressure pulses, you will only need to follow two simple steps: First, check cycle data to confirm that the unit is functioning correctly. Second, make sure the external Class 1 chemical indicators show a pass result.
Henry Schein Releases 2022 Sustainability and Corporate Social Responsibility Report, Demonstrating Company’s Commitment to ‘Delivering Solutions for a Healthier Tomorrow’ Henry Schein, Inc. (Nasdaq: HSIC), the world’s largest provider of health care solutions to office-based dental and medical practitioners, today announced the publication of its 2022 Sustainability and Corporate Social Responsibility (CSR) Report, titled “Delivering Solutions for a Healthier Tomorrow.”
No-shows are a common nuisance to dentistry practices - surveys show they can add up to 10% of all appointments!1 No-shows happen when patients don’t come to their scheduled appointments, without notifying staff or cancelling. This phenomenon hurts both clinical practices and patients, through many negative impacts. So let’s see how you can identify high-risk patients and greatly minimize missed appointments.
Ansell’s Worker Experience Innovation (WEI) program transforms insights from workers’ day-to-day encounters and challenges into new WEI technologies and product ideas for the dental industry.
As dental professionals one of the greatest dental concerns our patients report when they sit in our chair is experiencing sensitive teeth. Learning how to help our patients manage this condition ultimately helps us improve their dental health, well-being and quality of life. From my own clinical experience, I share my top tips to help you manage dentinal hypersensitivity in your patients.
When instrumenting, endodontic files are always exposed to mechanical forces such as friction resistance and/or clamping force in the root canal, which act on the file as torque during rotary preparation. This resistance counteracts the drive torque of the endomotor and can cause the file to twist (torsion). Under certain conditions (torsion strength and frequency of repetition) this may cause the file to break.
GuttaFlow bioseal is a state-of-the-art obturation material used for sealing and filling root canals. Hydroxylapatite crystals are formed on contact with the body’s own fluids. These in turn are natural components of bone and tooth tissue and support the healing process. This helps ENDO experts as well as beginners to create a lasting solution for their patients.
BioHorizons Camlog combines two families of implant solutions with proven track records in the demanding markets of America and Europe.
In July 2021, Kuraray Noritake Dental Inc. introduced KATANA™ Zirconia YML (yttria multi-layered). With KATANA™ Zirconia UTML, STML, and HTML PLUS already available, it is the fourth multi-layered zirconia in the company’s portfolio – and for dental technicians striving for simplification and standardization, it is the only zirconia they will need.
Many patients complain of having a dry mouth (xerostomia), and are seeking all relief for this problem, but equally important, many dental patients suffer from reduced production of saliva at rest (i.e. between meals) and are not aware that they have lost the natural protection provided by saliva.
Esthetic treatment of severely damaged teeth (i.e. over 50% loss of tooth structure) for crown and bridge work in the anterior region requires tooth-coloured materials and a post to improve the retention of the core build up.
Understanding barriers to self-care is a crucial aspect of our job that is inherent in the biopsychosocial model that we practice.
What would the quality of adhesive dentistry be if Kuraray Noritake had not developed the MDP monomer in 1981? MDP has proved to be a very effective functional monomer for creating durable bonding to enamel, dentine and metals. The best-known products containing MDP are CLEARFIL™ SE BOND and PANAVIA™.
Due to its increased usability, one-step universal adhesives are becoming more popular and the choice of many clinicians all around the world. Nonetheless, some studies have shown a lower performance than previous generations. Jorge Espigares, DDS, PhD, Planning and Development Department at Kuraray Noritake Dental, interviewed Tomohiro Takagaki, DDS, PhD, lecturer and former assistant professor at Tokyo Medical and Dental University (TMDU), pioneer in the field adhesive dentistry, author of many publications and currently lecturer at Asahi University
The Government is increasing the instant asset write-off threshold from $30,000 to $150,000 and expanding access to include businesses with aggregated annual turnover of less than $500 million (up from $50 million) until 30 June 2020.
To declare at the outset, I’m a gadget guy, I routinely converse with Siri and Alexa, I swoon over shiny new Mac’s and the iPhone and watch combination never leave my side. Don’t miss-read me, I value my down time, all work and social media is no way to live; but toss those CD’s...
Crestal bone stability around dental implants remains one of the most important and wanted features of successful implant treatment. Besides major clinical advantages to the patient, stable marginal bone provides us, the...
Around 75% of the worlds population has no access to even the most basic emergency dental care. In Tanzania, there are only 495 dental professionals for a population of 55 million people!
|